575 0 1 1

声明:本讨论来源于介入并发症群及其版权所有,转载请注明出处(专家姓名+DrKing道金医学)。文内观点针对特定病例,不具备广泛临床指导意义,请勿简单模仿,以免对患者带来负面影响。对于盲目模仿文中方法带来的不良后果,DrKing道金医学不负任何责任。
本期主持 | 介入并发症群
浙江湖州中心医院-程震锋

通过下腔静脉滤器植入LP
有下腔静脉滤器的患者可以进行各种复杂的经股静脉电生理手术。下腔静脉滤器被认为是经股静脉LP植入的禁忌症,可能会导致滤器倾斜、断裂、移位以及静脉损伤。
但如果植入益处大于风险时,也可以选择。术前需要咨询介入放射专家来确定滤器的类型(永久性还是可回收),什么品牌?有何特点?滤器在深静脉血栓形成且无法抗凝治疗或抗凝失败的患者中广泛使用,以及有静脉血栓栓塞高风险的患者(比如创伤),放置可回收滤器进行预防。
截至2012年,在美国约75%的滤器是可回收的。但最近的荟萃分析表明,尽管有超过85%滤器最初打算是临时使用的,但仍有三分之二的滤器未被回收。
可以与介入放射专家一起合作,在植入LP前先取滤器,如果患者仍需要滤器来预防肺栓塞,植入后再放入滤器。如果滤器是永久性的,无法移除,或者取滤器风险很高,则应仔细评估和比较经上腔静脉入路与标准的股静脉入路通过滤器的风险-获益。
术前需要进行静脉CT造影,评估下腔静脉直径(通常为16-24 mm)、有无狭窄、滤器是否通畅和深静脉是否有血栓形成。一般认为,在滤器外围穿过是最安全的,因为滤器周边网梁之间的间距最大。
术中应放大和调整透视角度来获得最安全和最宽的路径。J型导丝会有被滤器卡住的风险,应避免使用,最好使用Amplatz 超硬导丝或类似的导丝。
在LP植入过程中,在外鞘通过滤器前,应先在滤器附近进行静脉造影,再次确认下腔静脉是通畅的,是否有狭窄或血栓形成。延长滤器放置的时间并不一定能增加LP植入时滤器的稳定性和降低脱落率。
因此,持续透视观察导丝是否平滑通过滤器和下腔静脉至关重要(图3)。特别是,输送鞘推送遇到阻力时应注意对滤器施压过大,这会增加滤器损坏和下腔静脉撕裂的风险。遇到这种情况,可换为常规的经静脉电极起搏或换颈内静脉途径植入LP。

图3、输送鞘通过下腔静脉滤器
该患者有心动过缓、深静脉血栓形成病史,8月前下腔静脉放置了滤器(A,B) 。Micra输送鞘顺长导丝小心地推进。(C)在连续透视下仔细撤出Micra输送鞘。
我们认为下腔静脉滤器是LP植入的相对禁忌症,植入前与患者详细讨论至关重要。需要有更多的经验来评估这种方法的安全性,尤其在手术短期的安全性和长期各种类型滤器的完整性等方面。
无股静脉入路:下肢静脉系统闭塞
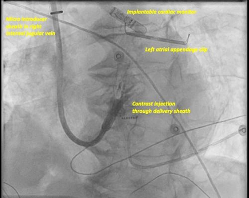
当股静脉入路不能选择的时候,可以考虑上腔静脉入路植入LP(图4)。尽管报道有限,但整体是可行和安全的。无论是右侧颈内静脉和股静脉入路在儿童患者均有被报道,但还缺乏这一人群的长期数据。
考虑到颈内静脉与颈动脉比邻和手术需要使用较大的导引鞘,首选超声指导下的颈内静脉穿刺。与股静脉入路不同,需要逆时针旋转输送管才能将输送导管头端指向右心室间隔面。

图4、上腔静脉入路
患者既往有外科房颤消融和左心耳结扎术史,存在反复静脉血栓和慢性下腔静脉滤器阻塞。推荐植入LP和房室结消融术。左前斜位通过输送导管注射造影剂显示导管头端紧靠右室中位间隔部。
房室结消融联合LP植入
植入LP后立即通过股静脉进行房室结射频消融是可行的。使用鞘中鞘技术,送入一根比Micra导引鞘更小的鞘可以防止消融导管周围明显的回血。
第三期将讲述如何减少并发症......
原文:DOI:10.1016/j.jacep.2020.08.021
引自:震锋晨读(浙江湖州中心医院-程震锋)